Precio de Carillas Dentales: Todo lo que Necesitas Saber

¿Qué Son las Carillas Dentales y Para Qué Sirven?
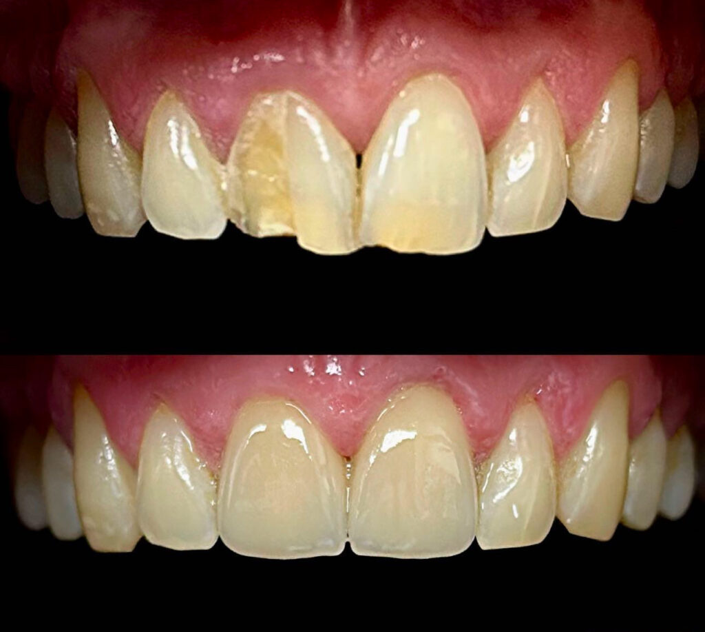
Las carillas dentales son finas láminas de porcelana o resina compuesta que se colocan sobre los dientes para mejorar su apariencia. Son ideales para:
- Corregir manchas o decoloración.
- Ocultar fracturas o desgastes.
- Arreglar dientes desalineados o con separación.
¿Cuál es el Precio de las Carillas Dentales en 2025?
El precio de las carillas dentales puede variar dependiendo de varios factores:
- Material:
- Porcelana: Mayor durabilidad y estética premium. Precio: entre $300 y $800 USD por diente.
- Resina compuesta: Más económico, pero menos duradero. Precio: entre $50.000clp y $100.000 clp por diente.
- Ubicación de la Clínica dental y experiencia del dentista especialista.
¿Por Qué el Precio de las Carillas Puede Variar?
Algunos factores adicionales que afectan el precio incluye:
- Número de carillas necesarias, si es una sola pieza dental o en varias Los diseños de sonrisa abarcan entre 6 a 10 dientes por arcada.
- Procedimientos previos (limpieza, blanqueamiento, eliminación de caries.).
- Tecnología utilizada en la clínica (escaneos 3D, personalización digital, prototipos con bysacril).
Beneficios de las Carillas Dentales
- Mejora estética inmediata.
- Resultados duraderos (10-15 años con porcelana) en caso de resina compuesta puede ir entre los 2 a 6 años de durabilidad.
- Tratamiento rápido y mínimamente invasivo.
Preguntas Frecuentes Sobre el Precio de las Carillas Dentales:
- ¿Las carillas dentales son permanentes?
Sí, las carillas de porcelana son permanentes, mientras que las de resina pueden requerir reemplazo tras algunos años si el paciente no los cuida bien. - ¿El seguro cubre las carillas dentales?
Generalmente, no. Las carillas son un tratamiento estético, muchos seguros dentales no reembolsan este tipo de tratamientos. - ¿Cuánto tiempo lleva el proceso?
Entre 1 y 3 sesiones, dependiendo del material y la complejidad del caso. si son carillas en resina se puede realizar en una sesión, y se agregar otra sesion para pulido y ajustes de ser necesario.
¡Consigue Tu Sonrisa Perfecta Hoy!
¿Estás listo para transformar tu sonrisa con carillas dentales? Solicita una consulta gratuita y recibe un presupuesto personalizado.
