valor tapadura dental

Precio de Tapaduras Dentales: ¿Cuánto Debes Pagar?

Las tapaduras dentales son una inversión importante en la salud bucal. Conocer los precios asociados te ayudará a tomar decisiones informadas, acá te informaremos sobre los valores actuales de las tapaduras pero siempre dependerá de cada caso y el criterio del dentista.

Factores que Influyen en el Precio de Tapaduras Dentales

El precio de una tapadura dental puede variar considerablemente Según el material y la comuna donde se encuentre la clínica dental, Estos son Algunos factores que influyen en el precio de las tapaduras dentales:

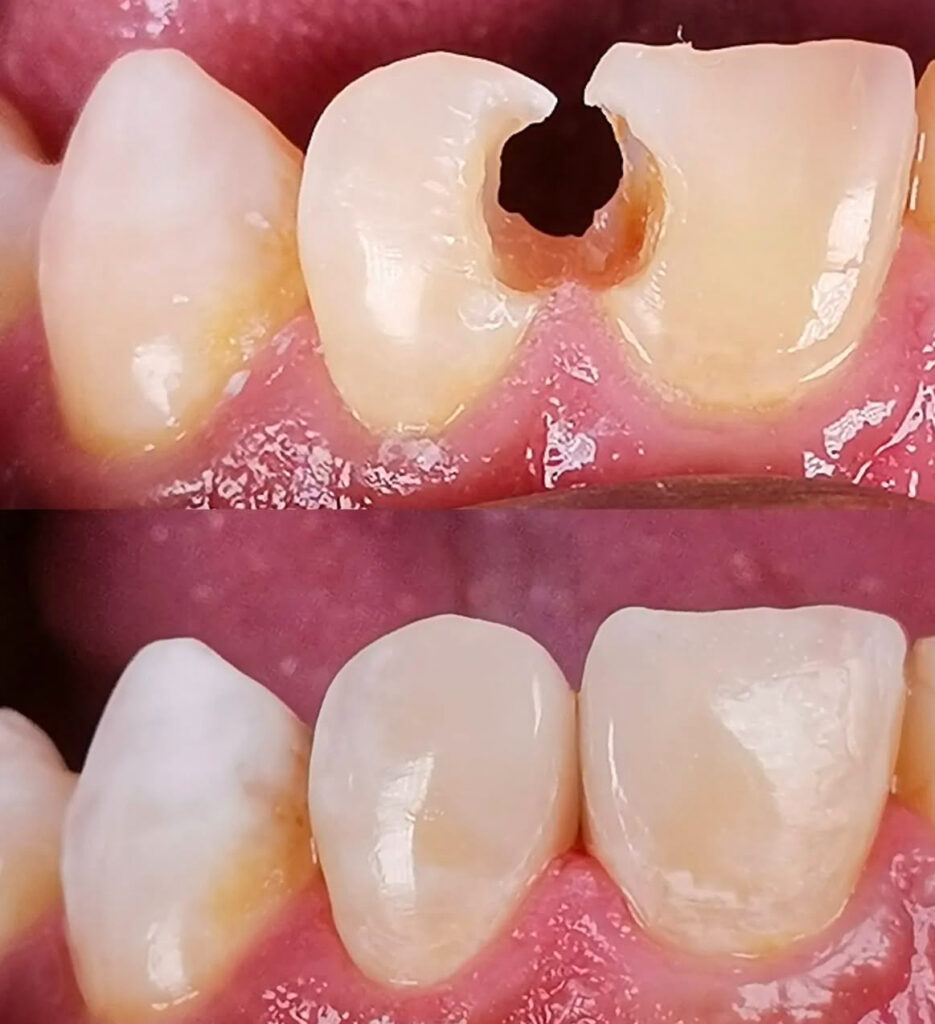
Tipos de tapaduras dentales:

- Amalgama: Generalmente más económica, los precios pueden oscilar entre $25.000clp a $30.000clp por tapadura. Este tipo de material en Chile ya no se usa ya que es muy tóxico por la aleación de metales que contiene entre ellos el mercurio.

- Resina compuesta: Este material estético es el más usado en la actualidad suele costar entre $25.000clp y $60.000clp, dependiendo de la complejidad. tienen un vida útil de 6 años aproximadamente

- Tapadura  ó incrustación Cerámica: El valor puede variar de $190.000clp a $250.000clp, siendo una opción de alta calidad.Tiene un vida útil de durabilidad  de 10 ó más años.

- Tapadura en oro: Su precio puede superar los $90.000clp, dada su durabilidad y estética. Hoy en día por el valor del oro y los pasos que conlleva realizar es muy poco probable que las clínicas dentales en chile realicen este tipo de tapa dura.

Ubicación según la región o comuna

El lugar donde te atiendan también puede influir  o variar en el precio. Las clínicas  que están ubicadas en el sector oriente de la región metropolitana suelen tener tarifas más altas que en zonas adyacentes.

Experiencia del Dentista

Dentistas con mayor experiencia y especialización pueden cobrar más por sus servicios dentales.

Complejidad del Procedimiento

Si el diente o muela  tiene una caries extensa o requiere tratamientos adicionales, el valor puede aumentar. por ejemplo muelas donde la caries ya entró en contacto con el nervio en estos caso es necesario el tratamiento de conducto y posteriormente una tapadura definitiva

Cómo Pagar las Tapaduras Dentales

Cada clínica dental o dentista aceptara varios medios de pago opciones de Pago y  también trabajar con previsiones de Seguros donde podrá solicitar reembolso.

- Seguro Dental: Muchas pólizas cubren parte del precio de las tapaduras de caries, así que es importante revisar tu plan si tiene cobertura.

- Financiamiento: Algunas clínicas ofrecen planes de pago, facilitando el acceso a tratamientos, algunas de ellas puede ser el uso de tarjeta de crédito hasta 6 cuotas ó 12 cuotas sin interés.

- Descuentos: Pregunta si hay programas de descuento disponibles para tratamientos dentales. hoy en día muchas clínicas ofrecen ofertas especiales en tapaduras y otros tratamientos dentales

Subir